Skip to main content
University of California San Francisco
Give to UCSF
intelligent imaging
About
People
News & Publications
News
Publications
Events
Projects
Resources
3DLab
Computational Core
Medical Imaging Datasets
Opportunities
Education
Internships
Contact Us
Search
Breadcrumb
Home
News
News
October 1, 2025
The Intersection of Breast Cancer and AI
News
September 19, 2025
Revolutionizing Precision Medicine with AI
News
August 26, 2025
Deep Learning and Automation: Research from Ci2 Visiting Scholars
News
August 22, 2025
UCSF Ci2 Students Present Research at Symposium
News
July 31, 2025
The Next Generation of AI-Forward Radiologists
News
July 25, 2025
UCSF Ci2 Welcomes Visiting Scholars
News
July 22, 2025
Identifying Clinically Relevant Problems in Medical Imaging with Dr. Tessa Cook
News
June 16, 2025
Structured Data Meets Large Language Models (LLMs)
News
June 9, 2025
UCSF Ci2 Advances Alzheimer's Disease Research
News
May 27, 2025
UCSF Researchers Develop AI Model to Reduce Cognitive Side Effects of Brain Cancer Radiation Therapy
News
May 20, 2025
Meet Our 2025 Summer Fellows
News
May 15, 2025
Clinical Deployment of a Hip Fracture Detection Model
News
April 8, 2025
Enhancing Surgical Precision with AI
News
March 20, 2025
Training Multimodal Foundation Models on Clinical CT Volumes, Radiology Notes, and Structured Data
News
January 28, 2025
Enhancing Personalized Cancer Care Through Machine Learning
News
November 13, 2024
Dr. Fredrik Strand's AI-Powered Approach to Early Detection
News
October 29, 2024
Advancing Neuroimaging Research from Julien Genzling and Céleste Gallien
News
October 22, 2024
An AI Primer for Musculoskeletal Applications
News
September 18, 2024
Considerations for Deploying AI in Radiology
News
August 26, 2024
Ci2 Research at the UCSF RIDR Symposium
News
August 22, 2024
From Concept to Clinic: The Journey of AI in Radiology
News
August 9, 2024
Meet the 2024 Summer Fellows at UCSF Center for Intelligent Imaging
News
August 1, 2024
The Implementation of Artificial Intelligence in Breast Imaging
News
July 12, 2024
Spotlight: Ci2 Member Jae Ho Sohn Lab
News
July 8, 2024
Improving the Generalizability of T2-Lesion Segmentation of Gliomas with Deep Learning
News
July 2, 2024
Evan Calabrese, MD, PhD, Presents Multimodal Artificial Intelligence-based Outcome Prediction in Neonatal Encephalopathy
News
June 18, 2024
Semisupervised Learning Framework Demonstrates Stronger Generalizability Potential For Intracranial Hemorrhage Detection and Segmentation
News
June 10, 2024
Zongwei Zhou's, PhD, Visionary Approach to Medical Imaging
News
May 22, 2024
Machine Learning-based Automated MRI Scan Planning
News
February 7, 2024
New Approach to Deep Learning Imaging Protocols
News
February 2, 2024
Revolutionizing Patient Care through AI and Innovative Imaging
News
January 31, 2024
Drs. Sharmila Majumdar and Cynthia Chin of ci2 Share AI Experimental Program with San Francisco Chronicle
News
January 22, 2024
Using AI to Reduce Gadolinium Contrast
News
December 12, 2023
Deep Learning Image Segmentation Approaches for Malignant Bone Lesions
News
November 30, 2023
The Impact of Transformational Technologies in Radiology
News
November 29, 2023
Deep Learning Shows Promise in Retinal Hemorrhage Detection
News
August 30, 2023
Showcasing the Achievements of UCSF ci2 Program Interns at the Summer Symposium
News
August 25, 2023
Multi-Institutional Team Develops Deep Learning Technique for Generating Synthetic PET Sinograms from MRI
News
August 18, 2023
New Method to Correct fMRI Distortions Without the Need for Extra Scans
News
July 6, 2023
Meet the 2023 UCSF Center for Intelligent Imaging Summer Fellows
News
June 20, 2023
ci2's Rupsa Bhattacharjee Shares UCSF Research at ISMRM 2023
News
June 12, 2023
Deep Learning System Created to Diagnosis, Classify and Monitor Interstitial Lung Disease
News
June 5, 2023
Meet Erik Gösche, an FAU Master's Student Conducting Research at UCSF
News
June 1, 2023
ci2 3rd Anniversary Events: Dani Ushizima, PhD and AI Computational Pathology
News
May 26, 2023
Artificial Intelligence Collaboration Continues Between San Francisco and Kiel, Germany
News
April 20, 2023
Transforming Radiology Practice Using Artificial Intelligence
News
March 29, 2023
Dorin Comaniciu Keynote Speaker at Science Sessions March 29th Event
News
March 20, 2023
Center For Intelligent Imaging Study to Yield Important Contributions to Noninvasive Kidney Imaging
News
March 6, 2023
Federated Learning Enables Big Data for Rare Cancer Boundary Detection
News
February 23, 2023
Is AI Ready for Primetime in Radiology? Experts Debate on March 8.
News
February 21, 2023
3DLab Imaging Services Improve Outcomes for Patients Inside and Outside UCSF
News
February 14, 2023
Team Develops Tau Aggregation Predictor to Model Progression of Alzheimer's Disease
News
February 3, 2023
Showing Clinicians Love During Heart Month: Deep Learning for Heart Disease Without Manual Labels
News
January 31, 2023
How to Start an AI Research Lab: ci2's Dr. Andreas Rauschecker Discusses on Radiology: AI Podcast
News
January 26, 2023
Celebrate ci2's 3rd Anniversary by Joining the Imaging Innovation Challenge
News
January 20, 2023
Apply Now for ci2's Summer Fellowship and 6-Month Internship
News
January 19, 2023
Using an Object Detection Network to Automatically Screen for IVC Filters on Radiographs
News
December 20, 2022
Sharmila Majumdar, PhD, Named a Top Female Scientist in the U.S.
News
December 13, 2022
UCSF Diffuse Glioma MRI Dataset is Publicly Available to Aid Global Research
News
December 6, 2022
UCSF Ci2 Researchers Review Structure-Function Models in Non-Invasive Whole Brain Imaging
News
November 21, 2022
Working to Standardize Imaging Acquisition and Evaluation in Spinal MRI
News
October 19, 2022
Using Machine Learning and Imaging Biomarkers Derived from Breast MRI for Personalized Breast Cancer Risk Prediction
News
October 13, 2022
AI Can Detect Changes in the Spine that May Cause Lower Back Pain
News
October 4, 2022
Can Deep Learning Be Used for Simulated Contrasted-Enhanced Breast MRI?
News
September 28, 2022
A Closer Look at the MICCAI 2022 K2S Challenge Winners
News
September 21, 2022
National Postdoc Appreciation Week – Meet Dr. Rupsa Bhattacharjee
News
September 20, 2022
National Postdoc Appreciation Week – Meet Dr. Felix Gassert
News
September 12, 2022
Investigators Incorporate Radiomics into Machine Learning Models to Better Predict Neuroblastoma Outcomes
News
August 31, 2022
An Interview with Masha Bondarenko, 2022 UCSF ci2 Summer Intern
News
August 19, 2022
The UCSF ci2 has a Strong Presence at the 2022 ISMRM Annual Meeting
News
August 19, 2022
Using 20,000 Spinal Radiographs to Create Global Curvature and Alignment Parameters
News
July 28, 2022
An Interview with Satvik Nayak, 2022 UCSF ci2 Summer Intern
News
July 21, 2022
Using CycleGAN Machine Learning to Improve Accuracy of Photon and Proton Radiotherapy
News
June 22, 2022
A Series of CXR-Based Deep Learning Models to Predict Future Healthcare Costs
News
June 14, 2022
Approach for Preoperative MRI-Based Glioblastoma Genetic Biomarker Prediction
News
June 2, 2022
A UCSF ci2 Study Shows Subject-Specific Prediction of Risk for Radiographic Osteoarthritis
News
May 20, 2022
A Natural Language Processing (NLP) Search Algorithm to Facilitate Use of Appropriateness Criteria
News
April 20, 2022
UCSF Researchers Use Gene Expression Data to Map Cell Types in the CNS
News
April 1, 2022
Participate in UCSF ci2, MICCAI 2022 Challenge: K2S K-Space2Segmentation
News
March 28, 2022
A Step Toward Using Computer Vision to Accurately Use FAST for Injured Children
News
March 21, 2022
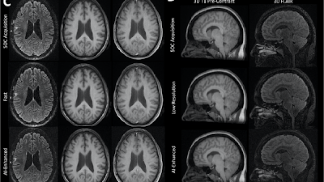
Using AI-Based Image Enhancement to Reduce Brain MRI Scan Times and Improve SNR
News
March 18, 2022
Parul Verma Awarded An Alzheimer's Association Research Fellowship
News
February 14, 2022
Building Methods and Tools for More Efficient Curation of Image Data
News
February 9, 2022
Introducing Representational Gradient Boosting (RGB)
News
Load More